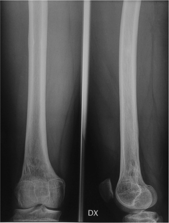
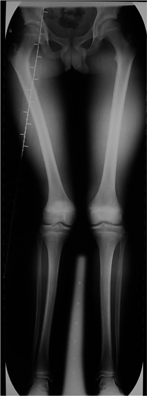
Maschio 13 anni. Esiti di frattura epifiolisi di condilo femorale esterno in eta di 10 anni.
Deformita in valgo del femore e accorciamento di 2,5 cm.

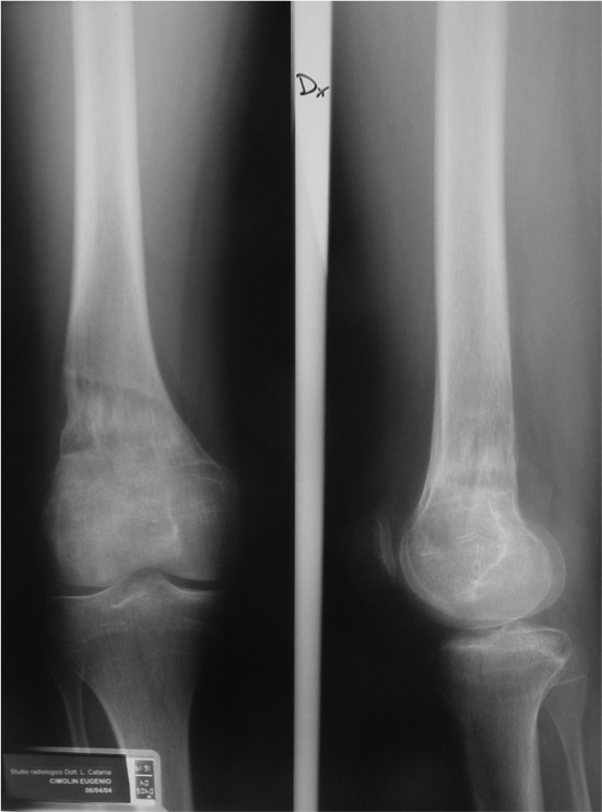
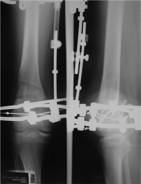
Inizio di correzione delle deformità


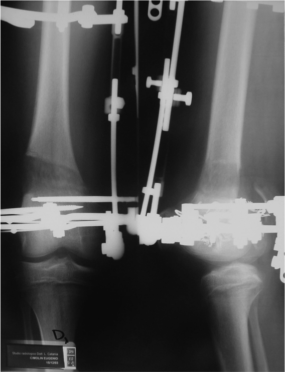
Inizio di allungamento



Correzione della deformità in valgo con ipercorrezione in varo


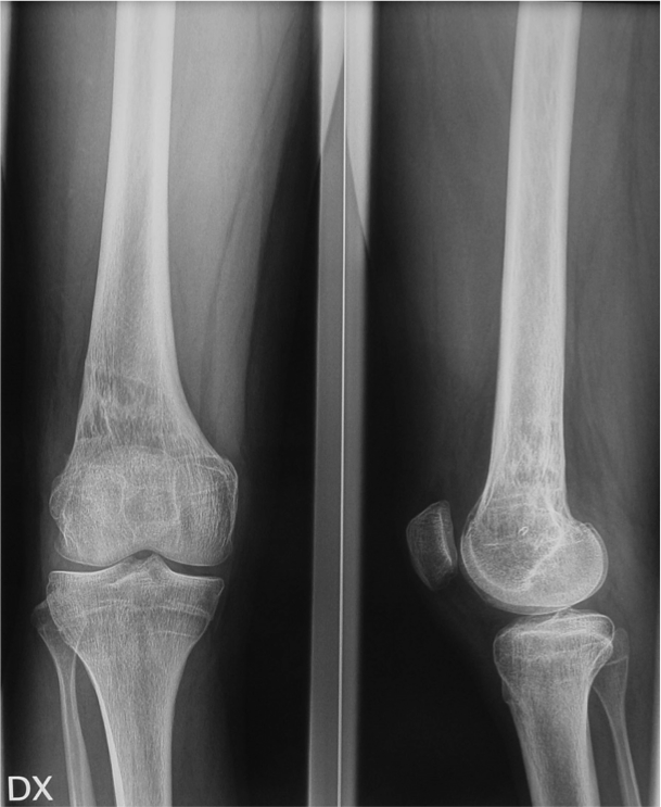
Risultato radiografico
1 mese

3 mesi

Risultato clinico a 3 mesi



Folow up clinico e radiografico a 3 anni





